Scopio Labs Full-Field Digital Cell Morphology Solution
The Scopio X100 and X100HT digital cell morphology platforms featuring Full-Field technology are transforming cell morphology analysis. Zoom, pan, and share high-resolution, digitized samples to improve efficiency across the patient care continuum.
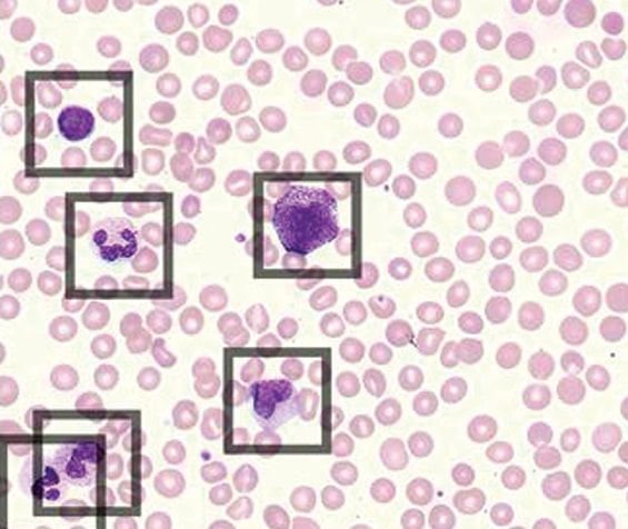
AI-based Full-Field Peripheral Blood Smear™ Application
Fields of view for tens of thousands of cells
Reduction in lab review turnaround time 1
Oil immersion resolution
Video What’s Hidden at the Feathered Edge?
From platelet clumps, malignant cells, and parasitic infections, the full-field view technology of Scopio Labs is helping to provide clinicians more insights, and more answers than the traditional snapshot view.
Watch nowWhite Paper: Assessment of Malarial Infection
Malaria remains a global public health issue. In this whitepaper, learn about a recent case of Plasmodium malaria in a 42-year-old man and delve into the history and biology of the parasite. Discover the role of vectors, the impact of climate change, and the critical advancements in diagnostics and vaccines.
Full-Field & Fully Digital: The Future of Digital Hematology
Watch this on-demand webinar to hear Robin Johnson lab director at Vista Clinical Diagnostics and and Ahmed Bentahar medical director at Beckman Coulter as they discuss how digital hematology solutions are improving lab performance.
See the scan in full context or zoom in on the smallest details all at an unprecedented resolution of 100X.
Full-Field Digital Imaging
Dynamic Scan Image providing enhanced assessment quality and added context for comprehensive analysis.
- A seamless integration of CBC results before and during slide review, alongside Scopio's differential
- No trade-off between field-of-view and resolution, allowing for assessment and analysis of cell morphology at an unmatched scale and depth
- 60% reduction in turnaround time1
AI powered Decision Support
State-of-the-art AI’s Decision Support System (DSS) algorithms3 tailored for efficient and comprehensive sample analysis, ensuring thorough examination.
- Adaptive Monolayer Detection algorithm, designed to identify the clinically relevant area and adapt for optimal review.
- White Blood Cells DSS for detection and pre-classification into 14 classes.
- Detection of platelets and pre-estimation from 10 fields of view, including the identification of platelet clumps throughout the scan area and the feathered edge.
Seamless LIS Integration
Advanced digital platform promotes remote review and consultation throughout the secure hospital network.
- Streamline workflows with an enhanced review process and minimized logistical constraints
- Help specialists collaborate across the secured hospital network with easy remote reviews and consultations
- Customize the analysis process for department-specific needs with features like multiple slide review, customizable category naming, seamless LIS integration, and flexible reporting options
Scopio X100 | Scopio X100HT | |||
Throughput |
3-slide tray Up to 15 slides/h for 200 WBC differential |
30-slide capacity (3 cassettes x 10 slides) Up to 40 slides/h for 200 WBC differential |
||
Slide Preparation |
Manual oil drop and coverslip | Automated oil drop and coverslip | ||
Barcode(Slides with no barcodes are alsosupported by the X100 and the X100HT) |
Data matrix Code 128, Code 39, EAN-8, EAN-13, QR Code |
Data matrix Code 128, Code 39, EAN-8, EAN-13, QR Code |
||
Stains |
All Romanowsky stains | All Romanowsky stains | ||
Storage Capacity |
Up to 1.5k scanned samples Up to 15k reports with cell images Up to 100 cases stored indefinitely |
Up to 4.5k scanned samples Up to 45k reports with cell images Up to 200 cases stored indefinitely |
||
X100 Scanner | X100 Processing Unit | X100HT Scanner | X100HT Processing Unit | |
Platform Size (WxDxH) |
14.2 x 12.6 x 14.7 in 36.2 x 32 x 37.5 cm |
12.56 x 6.77 x 14.09 in 31.9 x 17.2 x 35.8 cm |
16.6 x 15.4 x 25.2 in 42 x 39 x 64 cm |
18.2 x 8.6 x 19.1 in 46.3 x 22 x 48.6 cm |
Platform Weight |
29.7 lbs/ 13.5 kg | 18.3 lbs/ 8.3 kg | 65.7 lbs/ 29.8 kg | 37.5 lbs/ 17 kg |
Electrical Specification |
12VDC, 6.67A | 100-240VAC, 47-63Hz, 10-5A |
12V DC, 6.67 A | 100-240VAC, 50-60Hz, 20-l0A |
Download specifications ›
Bringing Digital Clarity to Bone Marrow Aspirate Analysis
Bone marrow aspirate review is a critical component in diagnosing many hematologic disorders and malignancies. However, it has traditionally relied on time-consuming manual microscopic review by highly trained morphology experts. Watch how Scopio Labs’ Full-Field Bone Marrow Aspirate™ Application4 leverages Scopio’s innovative full-field scanning and advanced AI-driven decision support to fully digitize the process, delivering an unprecedented review experience.
Scopio Labs
Beckman Coulter is a worldwide distributor of Scopio’s X100 and X100HT next generation peripheral blood smear platforms. We are partnering to add their Full-Field™ Peripheral Blood Smear Application technology to our suite of innovative hematology solutions.
Learn moreAdditional Resources
Hematology Workflow Solutions

DxH 900
Gain confidence in RBC, PLT and WBC differentials through near native-state cellular characterization.

DxH 900 Workcell
Streamline processes with this scalable, customizable hematology workcell solution.

DxH Slidemaker Stainer II
Better results start with better slide making. The SMS II prepares high quality slides to ramp up productivity and quality.

DxH 690T
A smaller footprint to empower clinical decision making and streamline hematology laboratory workflow.
Beckman Coulter is a distributor of Scopio Labs. FDA cleared, CE-marked. Not available in all markets. Please contact your local sales rep for more information about availability.
1. Katz, B. et al. (2021). Evaluation of Scopio Labs X100 Full Field PBS: The first high‐resolution full field viewing of peripheral blood specimens combined with artificial intelligence‐based morphological analysis. International Journal of Laboratory Hematology, 43(6), 1408–1416. https://doi.org/10.1111/ijlh.13681
2. Scopio's Full-Field remote capabilities are available through the secure hospital network.
3. Katz B-Z, Benisty D, Sayegh Y, Lamm I, Avivi I. Remote digital microscopy improves hematology laboratory workflow by reducing peripheral blood smear analysis turnaround time. Appl Clin Inform. Published online October 8, 2022. doi:10.1055/a-1957-6219
4. Scopio’s Full-Field BMA is available for Research Use Only. Not for use in diagnostic procedures.